Белоруска случайно проглотила вилку, пытаясь вызвать рвотуБелоруска случайно проглотила вилку, пытаясь вызвать рвоту26 Февраля
15:08
189
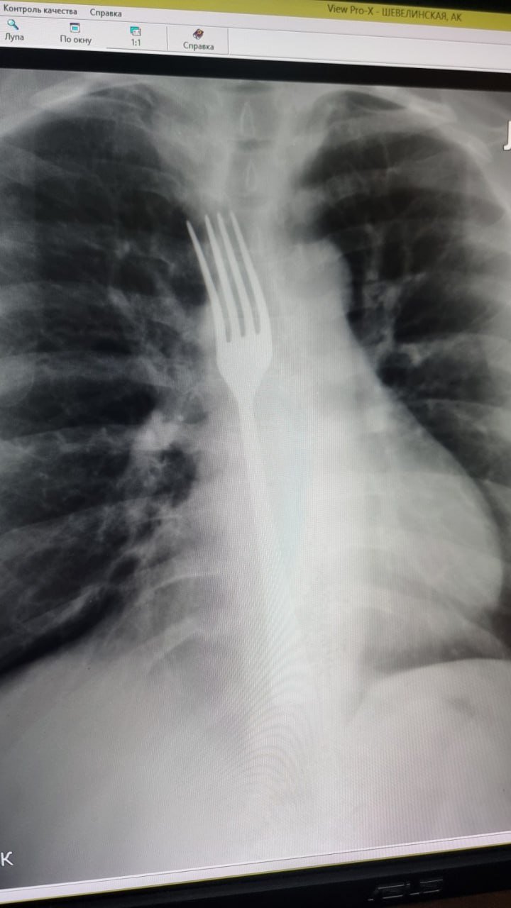
Инцидент произошел в Витебске. Женщина столкнулась с проблемой – «встал желудок». Не найдя ничего лучше, витебчанка попыталась вызвать рвоту вилкой. Пара неловких движений – и прибор застрял у нее в пищеводе. Срочно вызвали скорую и женщину доставили в областную больницу прямиком на операционный стол. Белоруске сделали «зонд» под наркозом и частично опустили вилку в желудок. Затем разрезали живот и извлекли инородный предмет. 1
0
Понравилась новость - смело поделись ею в любимой соц. сети
Новости по тегам
Будни студента мединститута или как я “трахал” Машу
Рабочие будни
Мужики, не бойтесь!
Популярные новости
Переживал за зайца как за родного!
Мем - смешной, ситуация - страшная.
Мужской vs Женский взгляд на вещи
Комментарии 1
puppen 26 февраля в 15:11
| Рейтинг :
4K+ 0
0
Копировать ссылку в буфер:
Copy
надеюсь исполосовали так, чтобы впредь неповадно было и до конца жизни видела последствие своей тупости.
2
Poputajlo 26 февраля в 15:26
| Рейтинг :
1K+ 0
0
Копировать ссылку в буфер:
Copy
Глубокая глотка
3
ЮриГ1972 26 февраля в 15:44
| Рейтинг :
8K+ 0
0
Копировать ссылку в буфер:
Copy
В порно отправить, там не случайно напихают полную глотку писюнов
Добавить комментарий
Только зарегистрированные пользователи могут добавлять комментарии. Вам следует Зарегистрироваться или Войти.
|
|
